Zum Hauptinhalt springen Zur Suche springen Zur Hauptnavigation springen
Menü

Fersensporn loswerden 


Zu Beginn ist der Schmerz in der Fußsohle oft nur während der ersten Zeit nach dem Aufstehen spürbar und verschwindet nach einer Weile wieder. Dieser sogenannte Anlaufschmerz wird jedoch mit der Zeit schlimmer und hält schließlich an, kann dumpf sein oder stechend wie ein Messerstich. Dabei tritt er nur in einem genau abgegrenzten Bereich der Fußsohle auf. Leidet man unter solchen Beschwerden, ist die Diagnose meistens: Fersensporn.

Voltaren Schmerzgel hilft

Voltaren-Salbe wirkt durch die entzündungshemmende Wirkstoff Diclofenac auf den betroffenen Bereich und kann so den Schmerz und Entzündungen bei Fersensporn lindern. Es ist jedoch wichtig, auch Maßnahmen zur Vermeidung von Belastungen auf den Fuß zu ergreifen, um eine Heilung zu unterstützen.

Voltaren Salbe
Produktgalerie überspringen
VOLTAREN Schmerzgel forte 23,2 mg/g 150 g VOLTAREN Schmerzgel forte 23,2 mg/g 150 g

Durchschnittliche Bewertung von 4.7 von 5 Sternen

VOLTAREN Schmerzgel forte 23,2 mg/g 150 g

Inhalt: 150 g (203,20 €* / 1000 g)

Varianten ab 9,50 €*
30,48 €*
VOLTAREN Schmerzgel 120 g VOLTAREN Schmerzgel 120 g

Durchschnittliche Bewertung von 0 von 5 Sternen

VOLTAREN Schmerzgel 120 g

Inhalt: 120 g (162,42 €* / 1000 g)

Varianten ab 11,10 €*
19,49 €*
VOLTAREN Actigo Schmerzgel 11,6 mg/g 100 g VOLTAREN Actigo Schmerzgel 11,6 mg/g 100 g

Durchschnittliche Bewertung von 0 von 5 Sternen

VOLTAREN Actigo Schmerzgel 11,6 mg/g 100 g

Inhalt: 100 g (150,70 €* / 1000 g)

Varianten ab 11,10 €*
15,07 €*
VOLTAREN Schmerzgel 180 g VOLTAREN Schmerzgel 180 g

Durchschnittliche Bewertung von 0 von 5 Sternen

VOLTAREN Schmerzgel 180 g

Inhalt: 180 g (138,56 €* / 1000 g)

Varianten ab 11,10 €*
24,94 €*
VOLTAREN Schmerzgel forte 23,2 mg/g 30 g VOLTAREN Schmerzgel forte 23,2 mg/g 30 g

Durchschnittliche Bewertung von 4.7 von 5 Sternen

VOLTAREN Schmerzgel forte 23,2 mg/g 30 g

Inhalt: 30 g (316,67 €* / 1000 g)

9,50 €*
VOLTAREN Schmerzgel 60 g VOLTAREN Schmerzgel 60 g

Durchschnittliche Bewertung von 0 von 5 Sternen

VOLTAREN Schmerzgel 60 g

Inhalt: 60 g (185,00 €* / 1000 g)

11,10 €*

Ursache unklar


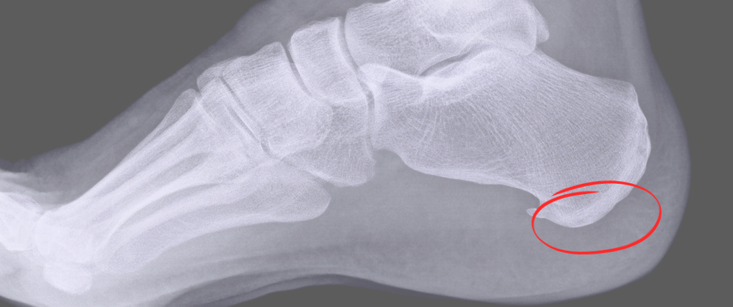
Wo genau die Ursachen für Fersensporn liegen, ist noch nicht abschließend geklärt. Ein möglicher Grund ist, dass der Körper tatsächlich einen Heilungsversuch unternommen hat. Sind die Sehnen im Fuß überlastet und kommt es in Folge der Überlastung zu leichten Rissen oder zu Entzündungen der Sehnen, lagert der Körper Kalk dort ein. Aus diesem Kalk entwickeln sich schließlich kleine Objekte, die nicht einmal stören müssen: Nur ein kleiner Teil der Betroffenen hat durch einen Fersensporn tatsächlich Schmerzen. Sichtbar sind die Ablagerungen im Fuß beim Röntgen. In aller Regel werden beide Füße geröntgt, da meist beide Fersen betroffen sind. Da diese Schmerzen, wenn sie schließlich dauerhaft auftreten, für große Unannehmlichkeiten sorgen, ist das Verschwinden des Fersensporns wünschenswert. Heilungsmethoden gibt es aktuell mehrere. Eine Operation zählt zwar zu diesen Methoden, doch ist sie meistens gar nicht erforderlich und die Heilung ist auch nicht unbedingt garantiert.

Massagen und Übungen

Zu den sanfteren Methoden zählen Massagen und Übungen, um die Muskulatur in Waden und Füßen zu dehnen, damit es nicht zu einer Überlastung der Sehnen in der Fußsohle kommt. In diesem Zusammenhang können auch fehlerhafte Bewegungsmuster neu gelernt werden. Die Patienten üben, ihre Fersen richtig aufzusetzen und so über den Fuß abzurollen, dass es nicht zu Überlastungen kommt.


Behandlung mit Schall

Auch Behandlung mit Schall oder eine Stoßwellentherapie kommen infrage. Die erhoffte Wirkung ist hier, die Kalkablagerung, die den Schmerz verursacht, zum Verschwinden zu bringen. Cortison-Spritzen zählen ebenfalls zum Spektrum der Möglichkeiten, sind aber nicht die bevorzugte Methode, um den Fersensporn loszuwerden. Möglich sind auch Botox-Injektionen, die dafür sorgen sollen, dass die betroffene Sehne wieder heilt.


Einlagen für die Schuhe

Schmerzlindernd wirken in der Mehrheit der Fälle schon maßgefertigte Einlagen für die Schuhe. Diese Einlagen können im Bereich der Fersen besonders weich gepolstert sein oder Aussparungen aufweisen, damit die empfindliche Stelle nicht belastet wird.

Bei einer positiven Entwicklung bringen bereits die Einlagen alleine eine Linderung, die Sehne in der Fußsohle heilt und die Schmerzen verschwinden. Ist es mit den Einlagen alleine nicht getan, kommen weitere Möglichkeiten der Behandlung zum Einsatz.


Dauer der Behandlung

Die Möglichkeiten, Fersensporn zu behandeln, sind also vielfältig. Je nach Ausprägung kann die Behandlung zwischen einigen Wochen und einigen Monaten dauern, grundsätzlich sind die Patienten nach einer erfolgreichen Therapie spätestens nach einigen Monaten jedoch wieder schmerzfrei.

Es muss aber gar nicht erst bis zum Fersensporn kommen. Risikofaktoren sind häufiges Stehen auf harten Böden, zu hohe Absätze, in denen die Fersen nicht genug gestützt werden, hohe Belastung der Füße, ohne sie vorher aufzuwärmen, zum Beispiel durch Sport, Übergewicht und eine zu kurze Muskulatur der Waden.

Einiges kann man selbst tun, um diese Risikofaktoren zu minimieren oder, wenn möglich, ganz zu verhindern. Ein Faktor ist hier bereits das Aufwärmen der Muskulatur vor dem Sport und regelmäßiges Dehnen der Wadenmuskulatur. Bei Schuhen sollte man darauf achten, dass sie gut sitzen und das Auftreten ausreichend dämpfen. Bei Fehlstellungen der Füße oder wenn man sie beim Laufen zum Beispiel zu einseitig belastet, können orthopädische Einlagen schon ausgleichen und so erst gar keine Überlastung der Sehnen entstehen lassen.

Neben dem unteren Fersensporn, also dem in der Fußsohle, kann auch der sogenannte obere Fersensporn vorkommen, ein Fersensporn an der Achilles-Sehne. Ein Entstehungsgrund für diese Form können Schuhe sein, die nicht richtig passen. Der obere Fersensporn ist in aller Regel jedoch die weniger behandlungsbedürftige Form und verschwindet in vielen Fällen innerhalb von kurzer Zeit von selbst wieder.

Was hilft noch bei Fersensporn?


Hier haben wir weitere Salben wie Ichtholan, Murmeltiersalbe und Ibuprofen Schmerzgel für Sie, die sich bei Fersensporn bewährt haben

Produktgalerie überspringen
ICHTHOLAN 20% Salbe 15 g

Durchschnittliche Bewertung von 0 von 5 Sternen

ICHTHOLAN 20% Salbe 15 g

Inhalt: 15 g (930,00 €* / 1000 g)

13,95 €*
MURMELIN Arlberger Murmeltiersalbe MURMELIN Arlberger Murmeltiersalbe

Durchschnittliche Bewertung von 0 von 5 Sternen

MURMELIN Arlberger Murmeltiersalbe

Inhalt: 200 ml (110,25 €* / 1000 ml)

22,05 €*
MURMELIN Arlberger Emulsion 100 ml MURMELIN Arlberger Emulsion 100 ml

Durchschnittliche Bewertung von 0 von 5 Sternen

MURMELIN Arlberger Emulsion 100 ml

Inhalt: 100 ml (149,00 €* / 1000 ml)

Varianten ab 9,50 €*
14,90 €*
MURMELTIER CREME mit Latschenkiefer

Durchschnittliche Bewertung von 0 von 5 Sternen

MURMELTIER CREME mit Latschenkiefer

Inhalt: 100 ml (80,90 €* / 1000 ml)

8,09 €*
DOC IBUPROFEN Schmerzgel 5% 200 g DOC IBUPROFEN Schmerzgel 5% 200 g

Durchschnittliche Bewertung von 0 von 5 Sternen

DOC IBUPROFEN Schmerzgel 5% 200 g

Inhalt: 200 g (140,85 €* / 1000 g)

Varianten ab 9,97 €*
28,17 €*
DOC IBUPROFEN Schmerzgel 5% 50 g DOC IBUPROFEN Schmerzgel 5% 50 g

Durchschnittliche Bewertung von 0 von 5 Sternen

DOC IBUPROFEN Schmerzgel 5% 50 g

Inhalt: 50 g (199,40 €* / 1000 g)

9,97 €*
Shopware-Theme Entwicklung Shopware-Plugin Entwicklung